Talking about Whitening
The case presentation remains the best way to convince clients about the magic of whitening procedures.
by Sharon Mazurek, CDA
As the clinical coordinator for a general practice, the area of cosmetic dentistry that I enjoy the most is tooth whitening. I have performed this procedure for several years, and my conclusion is that, when patients inquire about it, the proper case presentation has the greatest impact on their decisions and, subsequently, on our production.
We have marketed tooth whitening via newspaper ads, radio infomercials, and posters and brochures in our office. While all of these marketing tools help, none is as valuable as doing an individual case presentation with each patient. Let me share some of these ideas with you.
First, we never tell patients that they should have their teeth whitened. Some patients feel very comfortable with the way that their teeth look. But as dental professionals, if we believe a patient is a good candidate for whitening, we ask if there is anything about their smile that bothers them. The usual response is, "I'd like to have whiter teeth." Bingo! We then inform the patient that we offer free whitening consultations. If time permits, we do the consultation at that visit in an operatory designated for whitening. If not, we reschedule the patient.
Other patients come to our practice specifically for whitening and then return to their regular dentist. Since we strive to be an ethical practice, we never try to recruit patients from other dental practices. They come to us either because they saw our ads and their dentist doesn't offer "power whitening," or, as is more often the case, they like the results of our work on their relatives and friends and have been referred to us.
Starting the conversation
While all of our clinical staff members are trained to do consultations, I usually conduct them since I have the most experience. First, all patients are made aware that they need to have a current FMX if they decide to proceed with any type of whitening procedure. We also require a recent prophylaxis before doing the procedure.
For any patient, we start the consultation by bringing in the dentist so that he can address any questions or concerns that patients may have. Then we take an initial shade, and, with a mirror, we show patients their current shade. Next, we reveal which shade we think can be achieved with whitening by using the Vita shade guide. Sometimes a photo is taken, if patients consent, so that they can compare the results should they decide to proceed with the whitening.
While we cannot guarantee a particular shade, we explain to patients that, in the majority of our cases, their teeth will become at least five to seven shades lighter, and sometimes more. Before embarking on any type of whitening procedure, patients must sign an informed consent form. The form offers details about tooth whitening, as well as the patient's responsibility. We assure patients that, while staff members are very well-trained in whitening, all procedures are done under the direct supervision of the dentist.
Understanding the choices
Next, patients are offered the choice of take-home whitening or in-office "power whitening." General information about both procedures is provided, including what materials are used, how the procedures are done, and possible side effects. It's important to note that the word "bleaching" is never used during the case presentation, since some patients equate bleach with a toxic substance.
We also ensure that patients clearly understand what food and drinks to abstain from during the whitening process and for the two-week rehydration process following the procedure — including, most importantly, tobacco products I cannot overstate the importance of patient compliance regarding abstinence from anything that will stain their teeth during the rehydration process. Failure to comply leads to botched results and needless recrimination.
Patients are clearly informed that whitening will not change the color of existing restorations or crowns. They are told to wait at least two weeks after the procedure before any restorative work or crowns are done so that they can be properly matched to the shade of the whitening. We thoroughly review their responsibility to help maintain the whitening and discuss "touch-up" whitening in the future. For patients with tetracycline staining, we note that, while some whitening can be accomplished, the results will probably take longer than other cases.
We are very honest with our patients, for which they are appreciative. While there are ways to alleviate any sensitivity problems, we cannot guarantee that the whitening procedure will be painless. If patients opt for power whitening, we inform them of the potential for discomfort. We fabricate a tray for them to wear with desensitizing gel for a few days prior to the procedure. Patients who choose the take-home whitening receive the same courtesy. Most of the time, though, the only sensitivity experienced is due to gingival irritation, which can be eliminated by a simple adjustment to the tray.
Patients who decide on the take-home whitening procedure are also informed to stop if they feel anything unusual is happening, and that we will see them right away. They are also told that reversible pulpal irritation may occur, but are assured that any pain will subside within 48 hours. Our experience has been that the majority of patients undergo little pain, and what pain occurs usually subsides within a day.
Regardless of whether they choose the power or take-home procedure, we emphasize that they will be closely monitored, and we always make a follow-up phone call within 48 hours to see how they are doing.
The final details
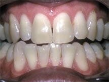
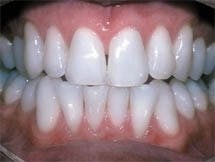
At the end of a consultation, patients are shown before-and-after pictures of other patients who have had whitening done in our office. We also provide them with brochures on both types of whitening procedures, as well as the informed consent form to take home and read. We want to be sure that they understand the options. I always give patients my business card, encouraging them to call anytime with questions or concerns regarding the whitening procedure they have chosen.
After the different options for whitening are presented, we discuss fees. It is important for patients to fully understand the procedures before fees are quoted. We offer a discount for cash or check payments, and, if they are having financial difficulties, our office offers a special credit program. Patients can also pay by credit card, but the discount is not available with this method of payment.
We inform them that payment is expected at the time the service is rendered, and we always document everything that is discussed.
The length of time for a whitening consultation varies from 20 minutes to an hour, depending on the patient and his individual concerns. But I can honestly say that the great majority of patients follow through with the procedure — many book the appointment the same day. They are grateful for the time that we've spent with them, and, in turn, they refer other patients to our practice.
The high proportion of patients who actually proceed with the whitening leads me to conclude that proper, individualized case presentation is the key to our success. It enhances our reputation, brings in new patients, increases our retention rate, and, most importantly, it increases our bottom line!
Sharon Mazurek, CDA, has worked in the dental field for 25 years and is the clinical coordinator for a dental practice in Nashua, NH. She has marketed and performed tooth whitening for the past seven years and conducts whitening seminars for clinical and front-desk staff. She may be contacted by e-mail at [email protected].
Photos courtesy of CAESY Education Systems, Inc.


