Fordyce granules: Normal or abnormal structures?
Patients often notice areas of their mouths that may have been present previously, yet suddenly become noticeable to them. On occasion, Fordyce granules may change, making them appear more prominent. For instance, androgenic hormonal changes due to puberty or pregnancy may affect an area of the body, causing a benign structure to change in color, size, or shape. An example of this is gingival overgrowth. These changes in hormonal levels may cause a previously benign growth to appear different in color or become more obvious, such as Fordyce granules.
Changes of this nature may cause a patient to bring noted variations to the attention of his or her dental hygienist or dentist with questions such as, “Do you think this appears normal to you?” and “What has caused this growth?” Dental professionals should be able to respond to these questions in a way that will allay any fears of malignancy or, in the case of possible premalignancy or malignancy, equip the patient to make an informed decision regarding the course of action. Patients may see multiple practitioners who do not recognize the granules as being Fordyce granules. Dentists and hygienists can be available to offer calming professional advice.
The patient in Figure 1 had concerns about the appearance of his lips and wanted to know what was occurring and how he could treat these white papules on his lip. Note the granules in the upper right lip area and on the vermilion border of the lower lip.
Fordyce granules are benign and require no treatment unless they present a cosmetic concern. However, in rare cases when they form keratin-filled cysts, sebaceous cell hyperplasia and adenoma have been reported.4 At this point, the appearance may be quite different, and the granules may require treatment.
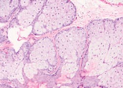
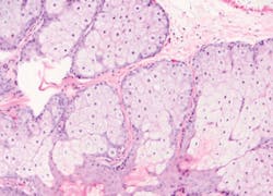
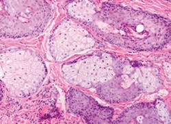
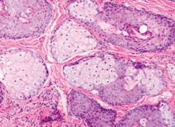
In Figures 2 and 3, the Fordyce granules are depicted as normal sebaceous granules composed of lobules of rounded cells with abundant clear, but coarsely granular, cytoplasm. Fordyce granules are a variant of normal tissue anatomy, but with any tissue change, pain, exudate, ulceration, or notable enlargement may raise suspicion for an abnormality. In such cases, further evaluation may be prudent.
Dermatologists may provide treatments for patients who find certain Fordyce granules to be unsightly. Available treatments include electrodessication or carbon dioxide (CO2), pulse dye lasers, and the micropunch technique. Again, Fordyce granules are variants of normal anatomy and do not require treatment in their normal state. These would be purely esthetic concerns and are not usually covered by insurance companies. This should be discussed with patients prior to any treatment considerations.
As always, listen to your patients and continue to ask good questions!
Editor's note: This content was originally posted in 2018 and has been updated as of September 2025.
References
1. Neville BW, Damm DD, Allen CM, Chi AC. Oral and Maxillofacial Pathology. 4th ed. St. Louis, MO: Elsevier; 2016.
2. Gaballah KY, Rahimi I. Can presence of oral Fordyce’s granules serve as a marker for hyperlipidemia? Dent Res J (Isfahan). 2014;11(5):553-558.
3. DeLong L, Burkhart NW. General and Oral Pathology for the Dental Hygienist. 3rd ed. Baltimore, MD: Wolters Kluwer; 2018.
4. Madani FM, Kuperstein AS. Normal variations of oral anatomy and common oral soft tissue lesions: evaluation and management. Med Clin North Am. 2014;98(6):1281-1298. doi:10.1016/j.mcna.2014.08.004.
About the Author
Nancy W. Burkhart, EdD, MEd, BSDH, AAFAAOM
NANCY W. BURKHART, EdD, MEd, BSDH, AAFAAOM, is an adjunct professor in the Department of Periodontics-Stomatology, College of Dentistry, Texas A&M University, Dallas, Texas. She is founder and cohost of the International Oral Lichen Planus Support Group (dentistry.tamhsc.edu/olp/) and coauthor of General and Oral Pathology for the Dental Hygienist, now in its third edition. Dr. Burkhart is an academic affiliate fellow with the American Academy of Oral Medicine, where she also serves as chair of the Affiliate Fellowship Program Committee. She was awarded the Dental Professional of the Year in 2017 through the International Pemphigus and Pemphigoid Foundation, and she is a 2017 Sunstar/RDH Award of Distinction recipient. Her professional interests are in the areas of oral medicine and the relationship between oral and whole-body health, with a focus on mucosal disease and early oral cancer detection. Contact her at [email protected].



