Dental hygiene recommendations that can alter clinical outcomes
Have you ever found yourself stumped by what’s going on with a patient’s oral hygiene protocols?
By Karen Davis, RDH, BSDH
Have you ever wondered what the average amount of time is that physicians spend with their patients? The online medical resource Medscape, owned by WedMD, released its 2016 Physician Compensation Report, which features data from more than 19,000 doctors in 26 specialties. The average amount of time physicians reported spending with their patients was 13 to 16 minutes. Contrast that to the average number of minutes dental hygienists spend with patients, coupled by the frequency of patient visits, and it is no surprise that patients trust their dental hygienists’ advice.
Not only do patients have a high trust factor with their dental hygienists, but they also value the opinions we provide as evidenced by the fact that patients inquire about oil pulling, charcoal for teeth whitening, dental implants, vitamin supplements, and they even seek opinions on which internist or dermatologist to see. Dental hygienists should capitalize on the influence we have by directing patients to new technologies they may not be inclined to seek out on their own, especially when these technologies have the potential to significantly alter clinical outcomes.
Innovative recommendations
There are a multitude of methods available to customize oral hygiene care for patients, and at times it is almost like a jigsaw puzzle to match the best product for a specific need and personality type. But let’s examine a scenario where patients are compliant with your recommendations, yet they still are not experiencing optimal clinical results. This can be frustrating and perplexing for both the patient and the dental professional. Based upon clinical evidence you see in the patient’s mouth, you may have been tempted to ask, “Now just which end of the toothbrush are you using, Bob?”
If you have ever found yourself in a situation in which you are stumped about what’s going on with a patient’s oral hygiene protocols, there are two recommendations that have the potential to resolve this dilemma and alter clinical outcomes significantly. Forward-thinking dental hygienists will capitalize on these two strategies:
Recommend “personalized coaching” with the use of a power brush designed to connect to an app on the patient’s phone for instant feedback on technique.
Recommend the use of a toothpaste that discloses where plaque biofilm is being missed during brushing.
Personal toothbrush coaching
The strategy of personalized coaching involves recommending that patients get connected with power brushes that are smart enough to communicate with their phones for personalized feedback on technique, and that can track their habits over time. Their power toothbrush is literally connected to digital feedback from an app on their phone, which prompts them not to scrub, shows them where they skipped an area, or where they brushed too fast. If you have not tapped in to this novel way of connecting with your patients, it is almost like being with them when they brush to coach them in how to modify their habits and enable the power brush to do the work properly for them.
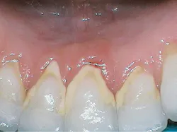
Figure 1: Using a power brush incorrectly.
Figure 2: The same patient six months later using Sonicare with Bluetooth feedback on brushing technique.
Philips Sonicare FlexCare Platinum Connected, the Oral-B Genius, and the newest Philips Sonicare DiamondClean Smart are three of these smart power brushes on the market. These technologies are ideal for many patients, but specifically for those who need coaching on improving their technique.
Figure 1 shows a patient who was compliant with the use of a power brush daily, but was using it too quickly and in a manner similar to a manual toothbrush. Figure 2 shows the same patient six months later at her next dental hygiene appointment after having switched to a Sonicare FlexCare Platinum Connected. The image reveals a work in progress. While not perfect in her oral hygiene, the difference in the tissue response after having personal feedback during brushing enabled this patient to resolve chronic inflammation at the gingival margin and reduced calculus accumulation substantially. Reduction and prevention of supragingival calculus on the lingual surfaces of lower anterior teeth is so important for patients today to prevent gingival recession tomorrow. However, this is not something the average patient considers. Patients who trust their dental hygienists will be open to their recommendations for using power technology that provides instant feedback to maximize their oral hygiene efforts.
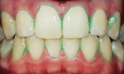
Figure 3: Plaque biofilm disclosed using Plaque HD toothpaste.
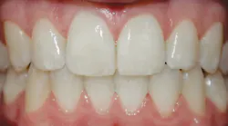
Figure 4: The same patient six months later using Sonicare with Bluetooth feedback on brushing technique.
Uncovering the enemy
The second recommendation to assist patients in achieving better outcomes includes the use of a plaque biofilm-disclosing toothpaste, so patients can see what they are about to leave behind. Plaque HD toothpaste identifies plaque biofilm as a brilliant green. After brushing, the patient can look in the mirror to see how effective their efforts have been. Any plaque biofilm left behind will show up bright green. This becomes a motivating factor to improve technique and rebrush areas with remaining plaque, so as not to start the day with a green smile. The technology in Plaque HD toothpaste comes from a proprietary blend of plant extracts that colors the plaque green. Figure 3 reveals plaque biofilm remaining in interproximal sites and at the gingival margin after brushing with Plaque HD toothpaste. Those are sites that can breed inflammation as biofilm accumulates and shifts the microbial balance toward more pathogenic bacteria to promote disease. As you can see in Figure 4, continued brushing of those sites eliminated the green biofilm.
Based upon clinical evidence you see in the patient’s mouth, you may have been tempted to ask, “Now just which end of the toothbrush are you using, Bob?”
A remarkable study published in 2016 in the American Journal of Medicine revealed that patients brushing with Plaque HD toothpaste for 60 days reduced their mean plaque score by 49% compared to a 24% plaque reduction with a placebo paste.1 More importantly, their inflammation, as measured by levels of C-reactive protein, plummeted by 29% using Plaque HD toothpaste compared to those brushing with placebo paste, whose levels of C-reactive protein increased by 25% over the same period. Think about this for a moment. A simple recommendation to have patients check themselves with a plaque-identifying toothpaste has the potential to reduce the inflammatory burden enough to lower inflammation in the body. Seeing the enemy simplifies the daunting task patients have to remove plaque biofilm effectively.
Influencing outcomes
Use of these types of technology is not only beneficial for patients struggling to maintain adequate oral hygiene, but can also be strategic for those with complicated medical histories who need to prevent inflammation. And, while dental professionals certainly recognize the value of building on healthy periodontal foundations, many patients need personalized recommendations to help achieve or maintain those results prior to expensive restorative or esthetic treatment.
The cumulative amount of time we spend with our patients enables hygienists to truly personalize treatment recommendations. Power brushes with digital apps that bring customized coaching right into the patient’s home and toothpaste that reveals the biofilm enemy are two strategies your patients may not be familiar with but will gladly welcome to achieve healthier outcomes.
Karen Davis, RDH, BSDH, is the founder of Cutting Edge Concepts, an international continuing education company, and practices dental hygiene in Dallas, Texas. She is an independent consultant to the Philips Corp., Periosciences, and Hu-Friedy/EMS. She can be reached at [email protected].
Reference
1. Fasula K, Evans CA, Boyd L, et al. Randomized trial of plaque-identifying toothpaste: decreasing plaque and inflammation. Am J Med. 2017;130(6):746-749. doi: 10.1016/j.amjmed.2016.09.003.




