Chairside Impact: Looking to the future of preventive health care
The quest for innovation and excellence in ethical patient care has always been at the forefront of my practice. Truth be told, we all know the battle against dental caries continues to be a significant challenge in modern dentistry. In fact, the prevalence of caries has not significantly decreased over the last 30 years.1 I’ve started to realize that monitoring a “watch area” is akin to watching a fire grow; this does not align with our focus in disease prevention.
An efficient and versatile fluoride-based product
As science continues to progress, the search for more efficient and versatile fluoride-based products has led to the development of an innovative solution: Curodont Repair Fluoride Plus from vVARDIS. This revolutionary product has become essential in my clinical practice, elevating my approach to preventive dentistry.
The innovative formulation of Curodont Repair Fluoride Plus encapsulates bioavailable fluoride ions and ensures precise delivery through guided enamel remineralization. Essentially, it helps fluoride, together with calcium and phosphate from saliva, to diffuse through the pores of the enamel surface into the white spots and to both remineralize and harden. This product and protocol close the gap between prevention and invasive restorative methods.
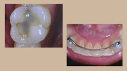
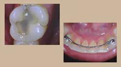
Watch areas are early, noncavitated lesions that are visible radiographically, or present as a white spot lesion on smooth and occlusal surfaces that derive from acidity on the tooth structure.2 During clinical examinations, dental professionals perform inspections of the teeth and identify these areas. Tools such as transillumination and fluorescence-based devices can aid in identifying these lesions. Performing both radiographic and visual techniques can effectively pinpoint areas the dentist previously called a “watch area” and intervene before they progress to more advanced decay.
Seamless integration
Using Curodont Repair Fluoride Plus in my clinical practice has been swift and straightforward. Its user-friendly design integrates seamlessly into my workflow, such that I’ve been able to apply Curodont Repair Fluoride Plus during hygiene visits without disruption. Simply following the recommended application steps ensures efficient, effective delivery, allowing for quick intervention in managing incipient lesions. This saves valuable chair time and empowers hygienists to provide comprehensive preventive care with minimal hassle. For the patient, it is a clear win-win—there is no staining, it’s totally pain free, and it has no taste, making it suitable for patients of all ages.
The future of preventive health care
Looking ahead to the future of dental hygiene, I’m excited about the possibilities that Curodont Repair Fluoride Plus holds for preventive health care. As current research indicates tangible clinical benefits with this product, I hope it will continue to lead the way in caries management. I truly embrace this innovation and feel that it’s empowered me to further elevate the standard of care for my patients.
Editor's note: This article appeared in the July 2024 print edition of RDH magazine. Dental hygienists in North America are eligible for a complimentary print subscription. Sign up here.
References
Pitts NB, Twetman S, Fisher J, Marsh PD. Understanding dental caries as a non-communicable disease. Brit Dent J. 2021;231(12):749-753. doi:10.1038/s41415-021-3775-4
Machale PS, Shetiya S, Agarwal D. The incipient caries. J Contemp Dent. 2013;3(1):20-24.
Kevin Ohashi Lopez, MHA,
BSDH, RDH
Kevin is a San Francisco-based dental hygienist. He graduated from West Coast University in 2019 and obtained a master’s in health administration. Currently practicing in Napa Valley, Kevin brings diverse dental experience, with both front- and back-office expertise. He is a speaker, ambassador, mentor, Guided Biofilm Therapy trainer with the Swiss Dental Academy, and NBDHE review faculty with Sanders Board Preparatory. Connect with him on Instagram @kevstalksteeth or via email at [email protected].
About the Author

Kevin Ohashi Lopez, MHA, BSDH, RDH
Kevin Ohashi Lopez, MHA, BSDH, RDH, is a San Francisco-based dental hygienist. He graduated from West Coast University in 2019 and obtained a master's in health administration. Currently practicing in Napa Valley, Kevin brings diverse dental experience, with both front- and back-office expertise. He is a speaker, ambassador, mentor, Guided Biofilm Therapy trainer with the Swiss Dental Academy, and NBDHE review faculty with Sanders Board Preparatory. Connect with him on Instagram @kevstalksteeth or via email at [email protected].


